Skip Navigation
Home
About Us
Types of Braces
Insurance
Patient Forms
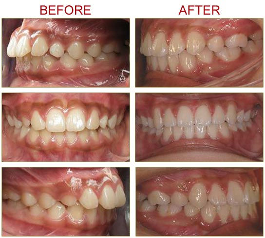
Before/After Photos
Payment
Orthodontics care
Locations
Book Online
More